Coeliac Disease and Your Dental Health: Examining the Link with Dr. Sara Jane Merlino

Coeliac Disease and Your Dental Health: Examining the Link with Dr. Sara Jane Merlino

Dentist and fellow coeliac Dr. Sara Jane Merlino draws important parallels between the autoimmune disease and our oral health

GUEST BLOG: Dr. Sara Jane Merlino

Living with coeliac disease means paying attention to your food, but did you know it can also affect your mouth?

Hi everyone! I’m Sara a fellow coeliac, dentist and pharmacist who’s passionate about helping others manage their dental health.

Here I’ll discuss oral symptoms, why they happen, common myths and practical things you can do to protect your teeth and gums.


Common oral symptoms of coeliac disease

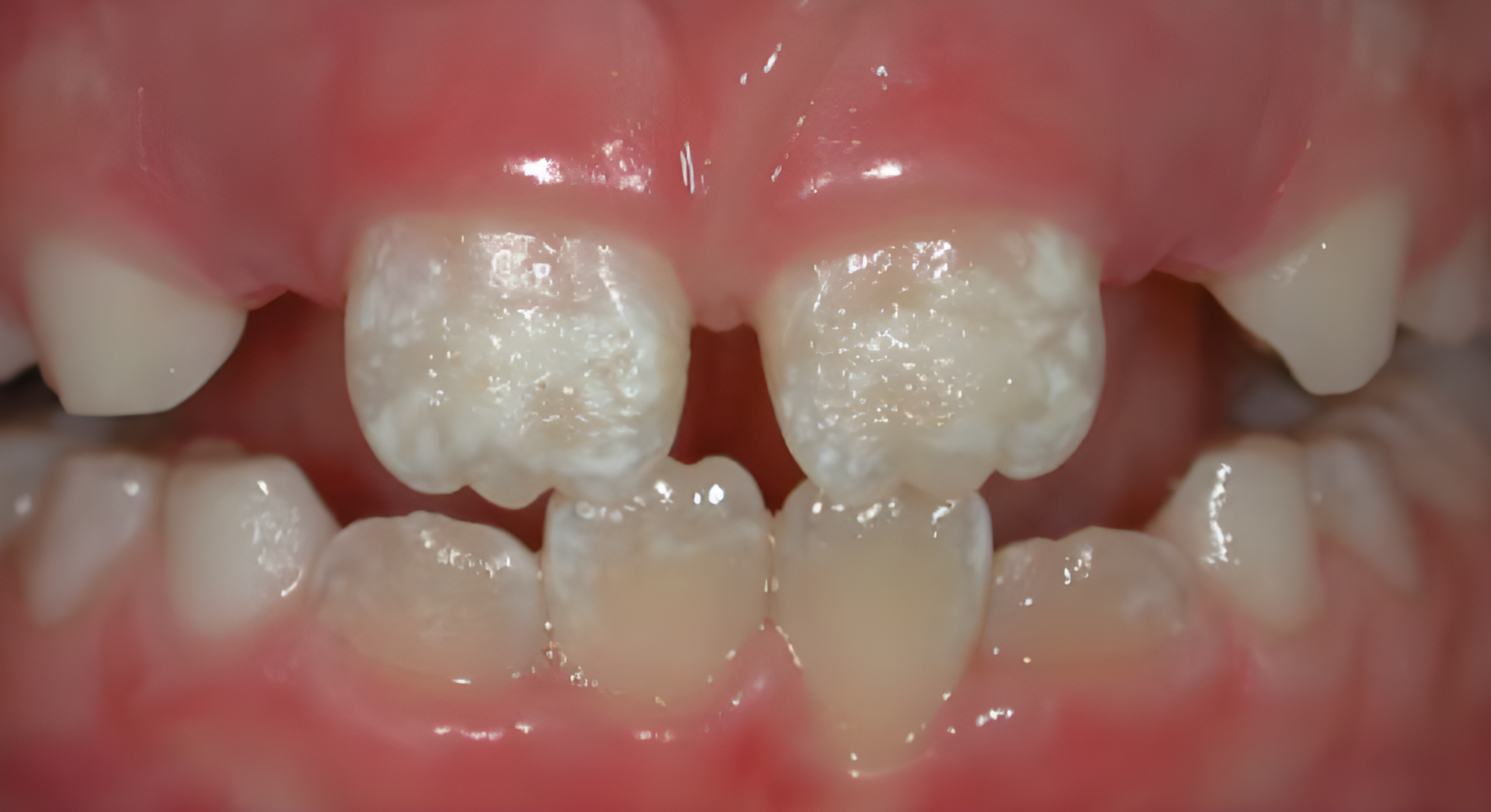
Hypoplastic enamel of the front teeth

Hypoplastic enamel of the front teeth

Oral symptoms commonly associated with coeliac disease include dental enamel defects, atrophic glossitis, recurrent mouth ulcers and delayed tooth eruption in children.

 Dental enamel defects (or dental hypoplasia) is enamel that’s thinner, pitted or discoloured.

 Atrophic glossitis is when the tongue appears shiny, smooth and red, due to iron and vitamin B deficiencies.

 Recurrent mouth ulcers (or aphthous stomatitis) is frequent, painful ulcerative sores commonly found on the lips and cheeks.

 Delayed tooth eruption in children, due to impaired nutrition which results in delayed growth and development.

If you recognise any of these symptoms, please mention them at your next dental visit.

How does coeliac disease show up in the mouth?

Aphthous stomatitis of the lower lip

Aphthous stomatitis of the lower lip

We know those with coeliac disease experience an autoimmune reaction to gluten which harms the lining of your small intestine. When this lining is damaged, nutrients aren’t absorbed properly.

This means your body may miss out on important things like iron, folate, B12, calcium and vitamin D. Over time, this can lead to symptoms not just in your gut, but throughout your whole body including your mouth.

Myth busters

Myth 1: “If I go gluten free then enamel defects will disappear.” - Fact: Enamel formed during childhood will not change. But you can protect and restore your teeth.

Myth 2: “All tooth problems in coeliac disease are cosmetic only.” - Fact: Dental enamel defects can increase risk of tooth sensitivity, fractures and cavities.

Should I tell my dentist I have coeliac disease?

Tailor Your Dental Appointments

Ensure your dentist is across your coeliac diagnosis

Absolutely! Telling your dentist helps them treat you, not just your teeth.

As a coeliac aware dentist, a comprehensive exam creates a tailored plan that helps you manage your oral symptoms. Please inform your dentist of;

 Any known family history so they monitor for early signs like enamel defects or delayed dental eruption.

 Medications and supplements (including those you buy over the counter)

 If you maintain a strict gluten-free diet and are highly sensitive to cross-contamination.

Do dental products and medications contain gluten?

Commonly used dental products and medications do not contain gluten. Major dental brands used within clinics (like big-name toothpastes, varnishes and adhesives) are generally gluten-free by ingredient.

In Australia, medications must adhere to the guidelines outlined by the Therapeutic Goods Administration (TGA). These are different to the food labelling laws. The TGA requires gluten to be declared at levels of 20 ppm or more. If you are highly sensitive, asking for gluten-free labelled products is a sensible precaution.

Five tips from a dentist

1. Early dental check-up following diagnosis of coeliac disease.

2. Blood test to exclude vitamin deficiencies.

3. High strength fluoride toothpaste if prescribed by your dentist. Maintaining twice daily brushing and daily flossing.

4. Regular tailored recall appointments to monitor for dental symptoms i.e. enamel defects, dry mouth or active decay.

5. If enamel defects are present, preventive resin sealing or fluoride varnish to protect and restore teeth.

How are coeliac aware dental appointments different?

As someone who lives with coeliac disease, I understand the dental implications. Early identification reduces the risk of misdiagnosis and ensures you receive appropriate treatment from the start.

At Gateway Dental Health, we work with your GP to identify any nutritional deficiencies and discuss referral to a dietitian if needed. Our knowledge allows for comprehensive treatment planning of common coeliac related dental issues. Not only do we use gluten-free products during your appointment, but we provide gluten-free take home products for ongoing care.

If you are noticing mouth pain, unusual white or yellow marks on your teeth, or recurrent ulcers please don’t ignore them. Many of these symptoms are treatable or manageable.

Book a dental check-up today and we’ll work with your medical team to protect your teeth.


About Dr. Sara Jane Merlino

Dr Sara Jane Merlino

Dentist and fellow coeliac. Dr Merlino is dual-qualified as both a dentist and registered Pharmacist! Her experience as a lead pharmacist has enriched her understanding of healthcare and patient needs.

Dr Merlino offers a gentle and holistic approach to dental care that ensures each of her patients are treated as if they were a friend or family.

Sara’s areas of interest include coeliac dentistry, aligner orthodontics, CEREC crowns and restorative dentistry where she strives to save and restore the beauty and function of teeth.

She is devoted to providing a comfortable, stress-free dental experience for everyone.

Preferred social and website links:  

Find Dr. Merlino on Facebook

Visit Gateway Dental Health here

Dr. Sara Jane Merlino

Dr. Merlino is dual-qualified as both a dentist and registered pharmacist living with coeliac disease, enriching her understanding of healthcare needs for patients

https://www.gatewaydentalhealth.com.au/
Previous
Previous

A Gluten Free Guide to Wollongong by Ashley Hally-Burton

Next
Next

Coeliac Disease Research to Watch in 2026